Materials Metric | Advanced Materials Characterization & Analytical Testing Services and Scientific Consulting

Generic selectors
Exact matches only
Search for your required testing or Service
Search for your required testing or Service
Post Type Selectors

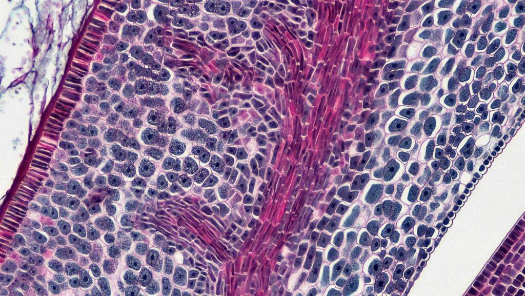
Tissue Engineering & Biomaterial Evaluation

Tissue engineering and biomaterial innovation depend on precise evaluation of cellular responses, scaffold architecture, tissue regeneration, and materialโ€“biological interactions. At Materials Metric, we provide comprehensive testing platforms that integrate decellularization analysis, in-vitro tissue culture, functional bioassays, engineered tissue models, and biomaterial-tissue interface characterization.

Our services help researchers and product developers understand how biomaterials support tissue growth, modulate cellular behavior, promote healing, and interact with biological environments. These insights support R&D optimization, regenerative medicine, implant design, therapeutic development, and ISO/FDA regulatory submissions.

To learn more about our Tissue Engineering & Biomaterial Evaluation Services, please contact us.


Scroll to Top