Materials Metric | Advanced Materials Characterization & Analytical Testing Services and Scientific Consulting

Generic selectors
Exact matches only
Search for your required testing or Service
Search for your required testing or Service
Post Type Selectors

Biomaterial-Tissue Interaction Studies

Biomaterial-Tissue Interaction Studies evaluate how biological systems respond to materials when they come into direct contact with cells, tissues, or engineered biological environments. These studies examine cell adhesion, proliferation, differentiation, protein adsorption, inflammatory signaling, immune activation, tissue remodeling, and integration behavior, providing essential insight into the safety and performance of biomaterials and medical devices.

Whether developing scaffolds, implants, coatings, hydrogels, dental materials, wound-healing constructs, nanomaterials, bioactive surfaces, or advanced composites, understanding the biological response is critical for predicting clinical outcomes. Materials Metric conducts comprehensive interaction studies using in-vitro models, engineered tissue equivalents, biochemical assays, imaging analysis, and mechanical/structural evaluation to assess compatibility and optimize biomaterial design.

Biomaterialโ€“Tissue Interaction Studies Can Achieve

1. Evaluate Initial Biological Response

  • Cell adhesion, spreading, morphology, and viability

  • Protein adsorption and ECM deposition patterns

  • Early inflammatory signaling and cytokine profiles

2. Assess Integration & Long-Term Compatibility

  • Tissue infiltration into scaffolds

  • Collagen, elastin, and GAG deposition

  • Remodeling behavior and structural maturation

3. Characterize Surfaceโ€“Cell Interactions

  • Impact of surface roughness, chemistry, stiffness, and coatings

  • Cellular mechanotransduction and morphology changes

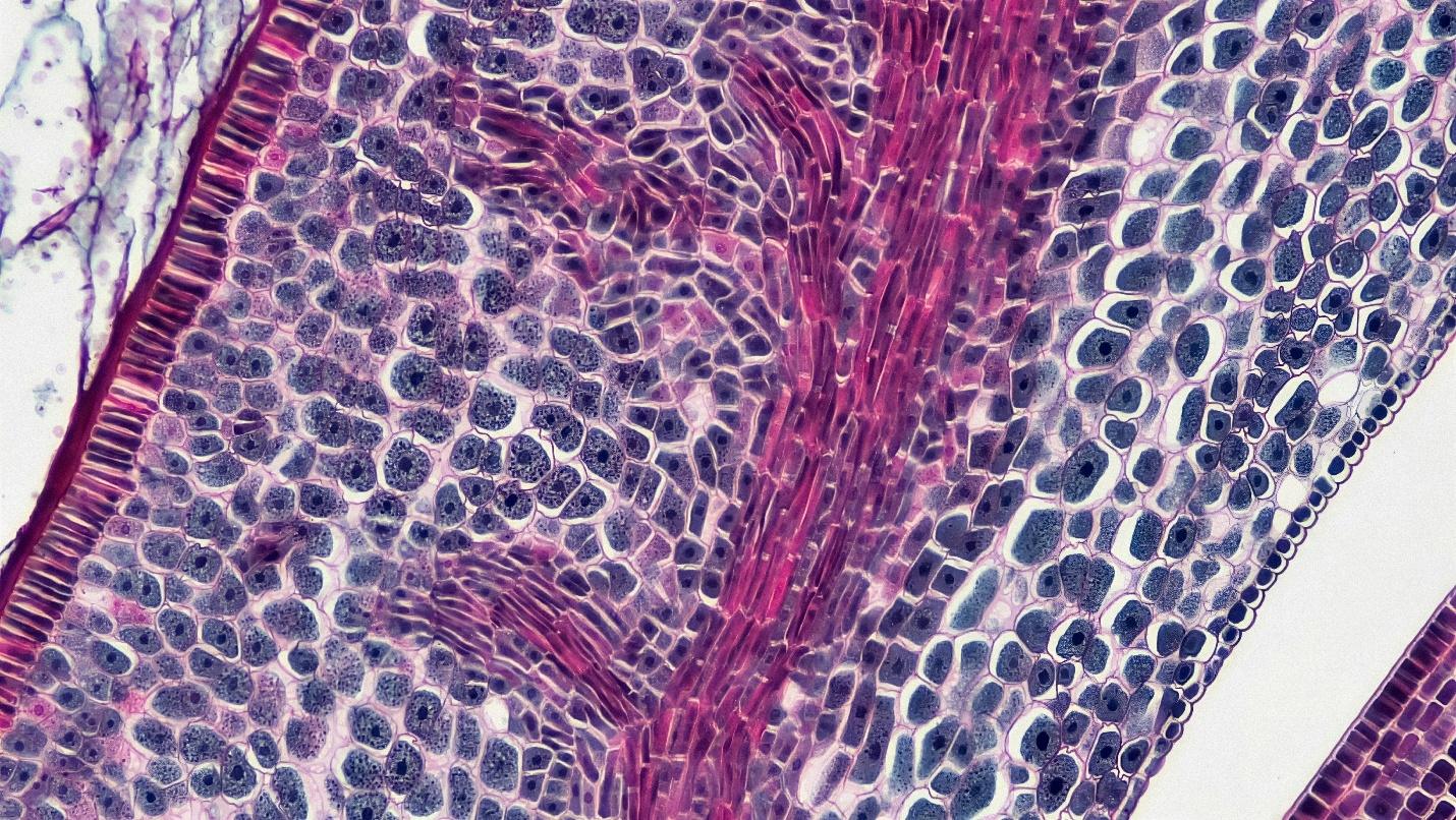
  • Quantitative imaging via CLSM, SEM, fluorescence, and histology

4. Identify Inflammation, Immune Activation & Foreign-Body Response

  • Macrophage polarization (M1/M2 analysis)

  • Immune cell adhesion and activation markers

  • Biomaterial-induced inflammation and compatibility

5. Study Degradation & Byproduct Effects

  • Biodegradable material degradation behavior

  • Impact of degradation products on surrounding tissue

  • Long-term structural integrity assessment

6. Link Material Properties to Biological Performance

  • Mechanical, thermal, and chemical properties correlated to cell behavior

  • Optimization of scaffold pore size, stiffness, or surface properties

  • Guidance for iterative material design and fabrication

Biomaterialโ€“Tissue Interaction Studies
Biomaterialโ€“Tissue Interaction Studies

Applications We Support

Tissue Engineering & Regenerative Medicine

  • Bone, cartilage, skin, vascular, nerve, and soft-tissue constructs

  • Scaffoldโ€“cell interaction, ECM formation, and remodeling

Medical Devices & Implants

  • Orthopedic, dental, cardiovascular, and soft-tissue devices

  • Surface coatings, nanostructured designs, and functionalized materials

Biomaterial Optimization

  • Comparing polymer blends, ceramics, hydrogels, composites, or coated devices

  • Evaluating chemical modifications or surface treatments

Drug, Gene & Cell Delivery Systems

  • Interaction of delivery platforms with target tissues

  • Release kinetics and biological response correlation

Biomaterialโ€“Tissue Interaction Workflow

1. Material Assessment & Experimental Planning

  • Define biomaterial properties, application, and target biological outcomes

  • Select tissue model: 2D cultures, 3D constructs, or engineered equivalents

2. Sample Preparation & Conditioning

  • Sterilization, surface treatment, and environmental conditioning

  • Preparation for direct or indirect contact assays

3. In-Vitro Interaction Studies

  • Cell adhesion, viability, and proliferation assays

  • Cytokine profiling, gene expression (qPCR), and protein analysis

  • Migration, infiltration, and tissue integration studies

4. Imaging & Structural Analysis

  • SEM / TEM for surfaceโ€“cell morphology

  • Confocal and fluorescence imaging for cell distribution and ECM

  • Histological staining for tissue remodeling and maturation

5. Mechanical & Functional Assessment

  • Elastic modulus changes during remodeling

  • Scaffold or implant integrity evaluation

  • Degradation kinetics and mechanical performance over time

6. Reporting & Recommendations

  • Annotated images, quantitative metrics, and statistical analyses

  • Mechanistic interpretation of tissue response

  • Guidance for material optimization or next-stage testing

Integration of Hip implant with the bone

Why Choose Materials Metric

Materials Metric offers a powerful combination of biomaterials science, cellular biology, advanced imaging, and analytical testing capabilities, backed by ISO 9001:2015โ€“aligned quality systems.

We provide:

  • Cross-disciplinary expertise in tissue engineering, materials science, regenerative biology, and microscopy

  • Advanced analytical infrastructure, including SEM, CLSM, fluorescence imaging, histology, biochemical assays, and mechanical testing

  • Customizable study designs for specific tissues, devices, or biomaterials

  • High-quality, reproducible data with clear, actionable interpretation for R&D and regulatory needs

  • Integrated testing workflows, linking surface properties, material mechanics, chemistry, and biological behavior

Our studies help you de-risk biomaterial development, optimize performance, and accelerate translation toward preclinical and clinical stages.

To learn more about our Biomaterialโ€“Tissue Interaction Studies or other testing needs, please contact us.


Scroll to Top