Materials Metric | Advanced Materials Characterization & Analytical Testing Services and Scientific Consulting

Generic selectors
Exact matches only
Search for your required testing or Service
Search for your required testing or Service
Post Type Selectors

Histology & Staining Services

High-quality histology and staining are foundational to understanding tissue architecture, cellular behavior, and materialโ€“tissue interactions at the microscopic level. Histology & Staining Services enable detailed evaluation of biological response, biocompatibility, inflammation, integration, and structural organization across native tissues, engineered constructs, and biomaterials.

At Materials Metric, we deliver end-to-end histological workflows, including optimized sectioning, routine and specialized staining, and image-ready sample preparation, designed to generate clear, reproducible, and interpretation-ready results. Our capabilities support preclinical research, medical device and biomaterial development, and regulatory studies by translating complex biological responses into actionable microscopic insight.

Our Histology Capabilities

Tissue Processing
โ€ข Fixation of soft and hard tissues
โ€ข Paraffin embedding and decalcification options
โ€ข Customized protocols based on sample type and study requirements

Microtomy and Sectioning
โ€ข Thin, uniform sections optimized for high-clarity imaging
โ€ข Support for soft tissue, bone, polymer implants, and hybrid materials

Staining Methods

Histology reveals tissue structure, cellular organization, inflammation, fibrosis, vascularization, and biological response. Staining methodsโ€”including H&E, Masson’s Trichrome, PAS, Alcian Blue, IHC, and IFโ€”highlight essential features for evaluating biocompatibility and functional performance.

We offer a comprehensive suite of stains:

Routine Stains
โ€ข Hematoxylin & Eosin (H&E)
โ€ข Massonโ€™s Trichrome
โ€ข Safranin Oโ€“Fast Green
โ€ข Alcian Blue
โ€ข PAS

Calcified Tissue Stains
โ€ข Von Kossa
โ€ข Alizarin Red

Advanced Staining
โ€ข Immunohistochemistry (IHC)
โ€ข Immunofluorescence (IF)
โ€ข Custom antigen retrieval and antibody optimization (available on request)

Each stain is selected to highlight specific cellular or extracellular matrix features relevant to your study.

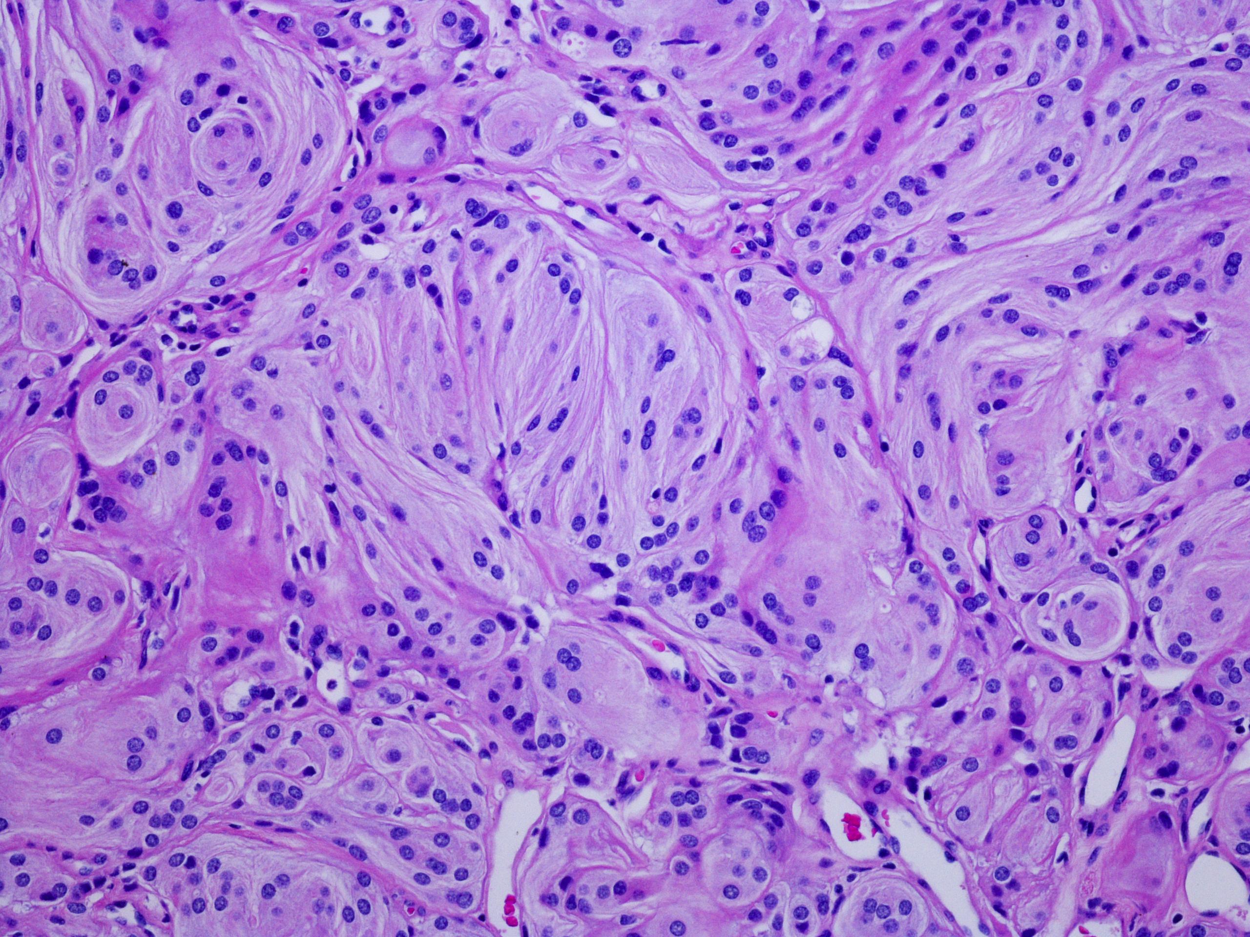
Advanced Histology and microscopy imaging analysis showing tissue morphology and biomaterial interactions.
Paraffin-embedded tissue block being trimmed and prepared for microtome sectioning.

Imaging and Analysis

โ€ข Brightfield imaging across multiple magnifications
โ€ข High-resolution image capture for reports and regulatory submissions
โ€ข Optional quantitative morphometric analysis
โ€ข Visualization of tissue-material interfaces, neotissue formation, and inflammatory profiles

Applications We support

Our services are used across a broad spectrum of biological and material evaluations, including:

โ€ข Biocompatibility and tissue integration studies
โ€ข Polymeric, ceramic, and hybrid biomaterial analysis
โ€ข Bone, cartilage, and soft tissue characterization
โ€ข Drug delivery and scaffold performance
โ€ข Implantable devices
โ€ข Regenerative medicine materials
โ€ข Dental and orthopedic implants
โ€ข Wound healing studies

Histology Workflow

1. Stain Selection

  • Morphology stains (E.g. H&E)
  • ECM and fibrosis stains
  • Immunohistochemistry and immunofluorescence

2. Staining Execution

  • Controlled, reproducible staining under QC systems

3. Microscopic Evaluation

  • Quantitative histomorphometry
  • Cellular and matrix-level interpretation

4. Reporting

  • Annotated micrographs
  • Quantitative scoring
  • Biological response interpretation
Stained tissue section showing cellular morphology under brightfield microscopy.

Why Choose Materials Metric for Histology

Materials Metric delivers publication-quality histology with expert biological interpretation.

We offer:
โ€ข Precision staining across soft and hard tissues
โ€ข ISO 9001:2015 regulated workflow
โ€ข Quantitative histomorphometry and scoring
โ€ข Expertise in inflammation, tissue remodeling, and implant responses
โ€ข Integrated imaging and chemical characterization

Materials Metric helps you obtain clear, defensible biological insights crucial for R&D and regulatory approval.

To learn more about our Histology & Staining Services or other testing needs, please contact us.


Scroll to Top